Table of contents
Dental bonding is also called cosmetic teeth bonding or composite bonding. This cosmetic dentistry treatment is usually reversible and is quick, cost-effective, and non-invasive. It is ideal if you wish to subtly improve the appearance of your teeth rather than make major changes and are looking for a fast solution.
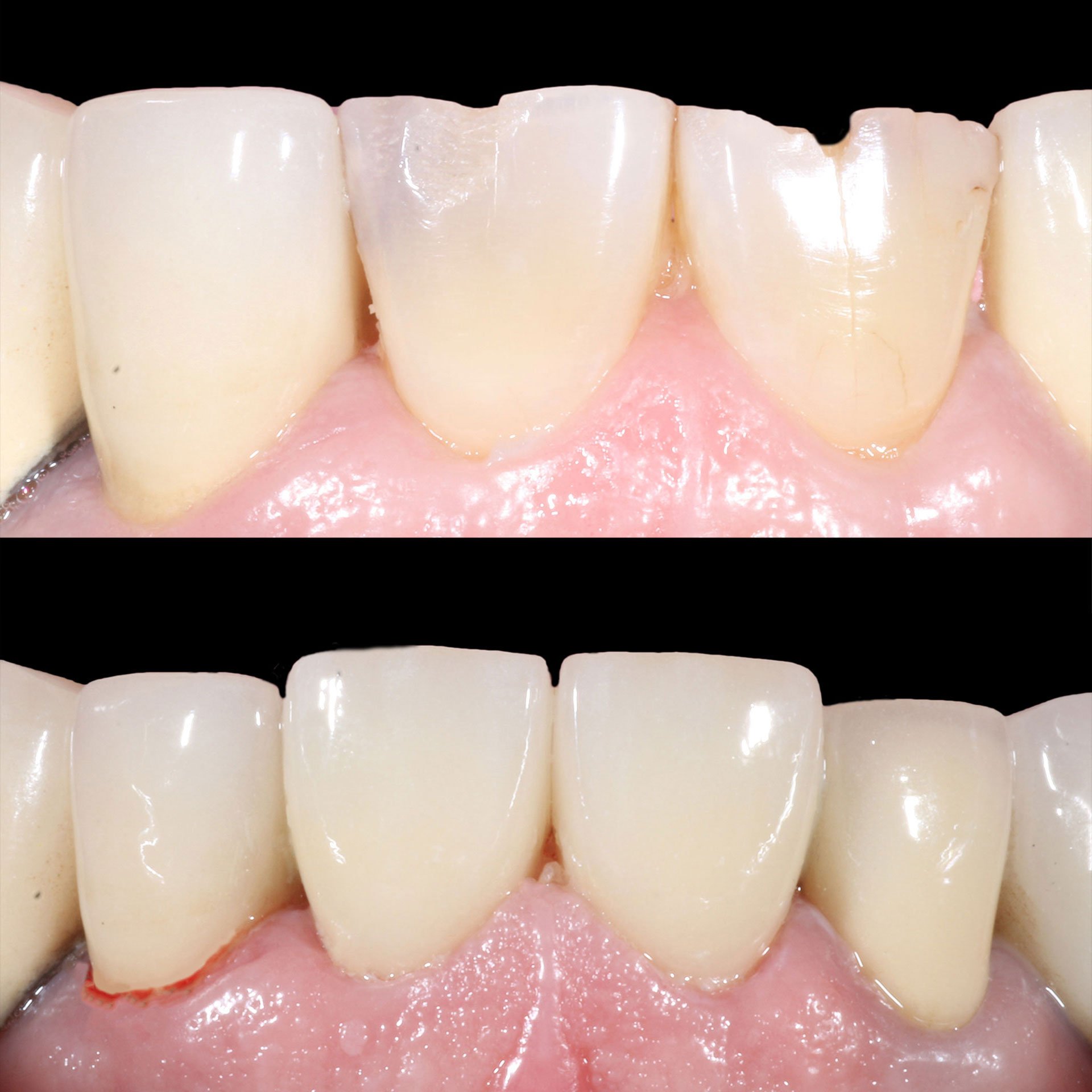
Dental bonding is a cosmetic dentistry procedure that uses tooth-colored composite resin to improve the appearance of one or more teeth. A suitable shade of resin is applied directly to tooth surfaces to create the desired changes. Composite resin is also used to fill small to medium-sized cavities in teeth and can replace older-style amalgam fillings, creating a more cosmetic and virtually invisible restoration. Teeth bonding is a common procedure we often recommend to patients looking to make small improvements to their smile.

You might consider dental bonding if you want to mend and conceal small chips or cracks in teeth or reduce or close gaps between teeth. We can use this treatment to cover teeth that are severely discolored or stained and where a professional tooth whitening treatment will not achieve the desired results.
This is often the case when a tooth is internally stained. Composite resin can change the overall appearance of a tooth, so we can use it to lengthen a tooth that is too short or to increase the size of a tooth that is too small.
Dental bonding is excellent for enhancing the appearance of teeth subtly, so results are noticeable but are not as dramatic as can be achieved with porcelain veneers. Instead, treatment is more conservative. If you want to make a substantial change to the appearance of your teeth or require multiple teeth to be bonded, we might recommend that you consider porcelain veneers.

Family Dentist, Implant Specialist
Brooklyn
Gravesend

Family Dentist, Implant Specialist
Manhattan
Manhattan

Family Dentist, Implant Specialist
Brooklyn & Manhattan
Manhattan, Downtown

Dentist
Brooklyn & Manhattan
Gravesend, Manhattan, Downtown

Dentist
Manhattan
Manhattan

Dentist
Brooklyn & Manhattan
Manhattan, Livingston

Dentist
Brooklyn & Manhattan
Manhattan, Livingston
The procedure is very straightforward. After assessing your teeth and determining which teeth will benefit from this treatment, we can choose a suitable shade of composite resin or blend several shades to match your natural teeth perfectly. We will prepare the surfaces to be bonded, lightly etching them with a special fluid.
Etching these surfaces roughens them, so there is a stronger bond between the resin and your tooth. Once etched, we rinse and dry the tooth and begin applying the composite resin, regularly hardening it with a blue light until all the material is in place. The composite resin is then carefully shaped to create a more attractive appearance and polished to create a natural luster.
The procedure takes around half an hour per tooth to complete. Afterward, you can return to everyday activities immediately, as in most cases, we do not even need to use local anesthetic when preparing teeth.

Dental bonding is inexpensive, and if used to mend a chip or crack in a tooth, it may be covered by dental insurance since it would be considered a restorative dental treatment. We can provide an accurate price for teeth bonding after your initial visit to Century Dental.
Nice office, amazing and helpful front desk staff! I have been going here for ages. They are only getting better. Highly recommended …
If you’re thinking about getting dental bonding to repair damaged and unsightly teeth while preventing future dental problems, you should contact a qualified dentist first. A dentist can help you assess whether implant dentures are right for you and provide vital information about this treatment option.
Century Medical and Dental Center offers highly tailored teeth bonding treatments to repair, reshape, and rejuvenate chipped, cracked, broken, or deformed teeth, turning your smile into your most valuable asset. You and your doctor work together to create a treatment plan that is both cost-effective and insurance-compliant. Our main goal is to provide patients with the best possible service in a welcoming setting.
Dental bonding is not permanent, as the bonding material will eventually need replacing. Composite resin is not as hard-wearing as porcelain and is not stain resistant, so it can begin discoloring after a few years. It cannot be whitened and will need to be replaced. The rate of discoloration depends on lifestyle habits.
Someone who smokes or enjoys a lot of strongly colored foods and beverages will see their dental bonding discolor more quickly than a non-smoker or someone who consumes highly colored food and drink less frequently. Some oral habits like biting your nails or using teeth to open packets can chip or crack teeth bonding just as easily and are best avoided.
Dental bonding does not require any special care. You can brush and floss your teeth normally. A good oral care routine, including regular dental checkups and hygiene appointments, will help your dental bonding last longer.
The advantages of dental bonding include the following.
The potential disadvantages of teeth bonding include the following.
Dental bonding could be the right choice if you have minor imperfections in your teeth and are looking for a fast, inexpensive solution to improve your smile. When you visit Century Dental, we can discuss your treatment goals, assess your dental health and discuss dental bonding in more detail to ensure this is the right option. If you decide to proceed, our skilled cosmetic dentists will ensure the results look beautiful yet natural, enhancing your smile.
Century Medical and Dental Center is an accredited healthcare facility in NY that operates in accordance with Article 28, a public health law. This law regulates and recognizes accreditation for public healthcare facilities, ensuring they are licensed and operated correctly. By undergoing the Article 28 process and achieving accreditation, Century Medical and Dental Center demonstrates its commitment to meeting the highest standards of care.
As a multidisciplinary medical center, we have highly qualified doctors, nurses, and support staff who are working hard to provide the best medical care to patients in Midtown Manhattan, NY, Downtown Brooklyn, NY, including Brooklyn Heights, Dumbo, Prospect Heights, Park Slope, Clinton Hill, Boerum Hill, Red Hook, and Bedford-Stuyvesant.